CASI CLINICI
"La mia filosofia è di rapportarmi ai pazienti esattamente come fossero miei familiari."
Ecco alcuni
"La mia filosofia è di rapportarmi ai pazienti esattamente come fossero miei familiari."
Ecco alcuni
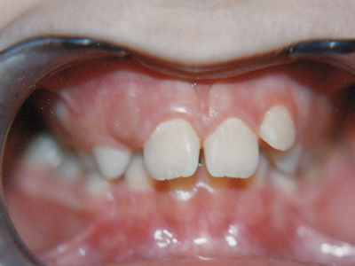
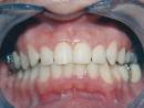
CASO 1
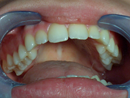
Prima


Dopo


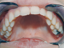
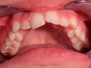
CASO 2
Prima


Dopo


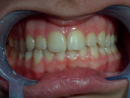
CASO 3
Prima


Dopo


CASO 4
Prima


Dopo


CASO 5
Prima


Dopo


CASO 6
Prima


Dopo


CASO 7
Prima


Dopo


CASO 8
Prima


Dopo


CASO 9
Prima


Dopo


CASO 10
Prima


Dopo


Copyright © 2023 Dr. Massimo Lozzi – P. IVA IT03630260234
Italia: Via Giuseppe Adami, 4 - 37124 Verona